Self-Suasion: Persuade Yourself Into Living Your Best Life

Persuasion: The Practice of Getting a Yes

Be-suasion: The Practice of Being a Yes

Self-suasion: The Practice of Living a Yes

You’ve probably heard me say, "Getting a yes is good; being one is better." I often write about the first two types of 'suasion'—persuasion and be-suasion—as I did in last week’s article, 7 Secrets to Stop Chasing Yesses and Become the Yes.

But there's a third type of suasion that I rarely discuss: self-suasion. And honestly, it’s the most crucial of them all because it sets the direction you’re heading in.

Persuasion is something anyone can master—you just need to learn the principles and practice applying them at the right moments.

Be-suasion is about becoming a walking form of persuasion, where people say "yes" to you and not just to a tactic you’re using. It’s not about achieving outcomes; it’s about becoming a magnetic human being who naturally attracts "yeses."

But what’s the point of becoming magnetic if you don’t know what you want to attract? Think of be-suasion as the arrow; self-suasion is the bow that guides it toward your target.

What Is Self-Suasion?

Self-suasion is about convincing yourself that you deserve to live the life of your dreams. The secret? What you wish to hear from the world, you must first hear within. It’s about aligning your inner dialogue with your deepest desires and thinking from your wish fulfilled rather than just thinking of it.

Remember, the "real" world is often a reflection of our inner beliefs and assumptions. If you dwell on thoughts of poverty, that’s exactly what you’ll manifest—regardless of how magnetic you become. We need both be-suasion and self-suasion; they’re the bow and arrow that can launch you into a life where you find yourself saying, "Wow, is this really my life? I am so blessed!"

In this article, I’ll share five self-suasion techniques to help you aim that bow and fire with precision.

I Am That I Am

Quick disclaimer before we dive into some unconventional territory: The views in this article are my own. I’m not promoting or recommending the use of illegal substances. Mental health is serious and should always be discussed with a licensed professional, which I am not.

Alright, back to our regularly scheduled programming.

Before we get into the self-suasion techniques, let’s lay some groundwork. Some of you know I’m a strong advocate of Psychedelic-Assisted Therapy. Not only am I an advocate, but I also founded a company in the space back in 2022. The world is hitting rock bottom—especially when it comes to mental health. We’re more anxious, depressed, and lonely than ever. Enter the breakthrough potential of psychedelics.

The Power of Psychedelics

Why do psychedelics work for so many people? Here’s where things might get a bit strange, but stick with me; it will all connect back to self-suasion.

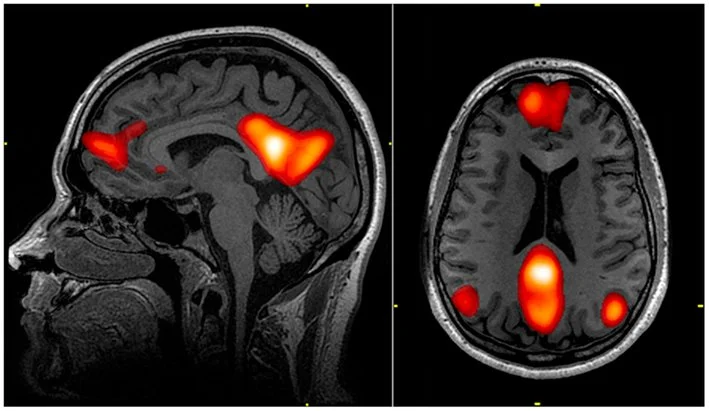
When someone enters a non-ordinary state (aka, gets high) with the intention to heal, a part of the brain known as the Default Mode Network (DMN) lights up on brain scans. This area is responsible for our sense of self—the "me, myself, and I" network. It answers the question: Who am I?

Magic mushrooms (psilocybin) activate the DMN—the part responsible for choosing the words that follow your "I AM" statements. Think of psychedelics as a truth serum. They allow you to see the reality of who you are by exposing false "I AM" statements.

For example, if your father didn’t know how to love you and made you feel unlovable, you might have adopted the belief, "I Am Not Lovable." Since we’re wired to trust our parents, that belief likely stuck with you. You carried it into adulthood, choosing romantic partners, jobs, and salaries that reflected this belief. Naturally, you became depressed—until one day, during a guided psilocybin journey, you had an epiphany: "Wait a minute, I am lovable." And just like that, where did the depression go? It wasn’t the fungi itself that lifted the depression; it was the new words you started using to follow your "I AM."

Scientists have recently uncovered the healing potential of the DMN's connection to our sense of self. However, ancient philosophies and spiritual teachings have emphasized the power of "I AM" for thousands of years. From the Hermetic traditions of ancient Egypt to the Bible, Torah, and Bhagavad Gita, they all point to one secret: the most powerful words in any language are those that follow "I AM."

5 Self-Suasion Techniques

Self-suasion is about hearing only that which implies the fulfillment of your desire. Your inner speech, whether conscious or subconscious, shapes the world around you. Simply put: you are the author of your reality.

Technique #1: Choose Your I AMs Wisely

Here’s some homework—trust me, you’ll be amazed. Spend a day listening to the words people use after saying "I AM." Notice how often they say negative things about themselves:

“I am sick. I am lonely. I am depressed. I am an idiot. I am hopeless. I am broke.”

You’ll be shocked at how many awful things people say about themselves in just a short conversation. How can anyone create a beautiful life when their inner dialogue is so ugly?

As Desmond Tutu once said, “Language is very powerful. Language does not just describe reality. Language creates the reality it describes.”

Your technique: Treat your I AMs like gold. Be careful how you use them because they shape your reality. Instead of saying, "I am sick," say, "There is a sickness moving through me." Instead of "I am angry," try, "There is anger moving through me." Never identify with negativity. Save your I AMs for what you truly want to create.

Looking for a powerful book that explores the transformative power of 'I AM'? Check out The I AM Discourses—it’s a deep dive into the principles of self-affirmation and personal transformation.

Technique #2: Stop Comparing and Despairing

We often misidentify with an "I Am" by comparing our insides to others’ outsides. We see someone driving a beautiful car and think, "I’m not that." The only reason their success triggers you is because, deep down, you believe you are not successful or worthy of it.

Another Trap is Searching: Those who go looking for success—whether it's wealth, love, or health—only end up manifesting their own lack. Why would you search for something you already are? The wealthy attract wealth; the loving attract love; the healthy attract health. Remember, you can be wealthy without a single dollar in your bank account—you just need to believe that you are.

Your Technique: When you see something you desire—a beautiful home, a loving marriage, a healthy body—affirm out loud, "I am that, I AM!" This isn’t about copying what others have; it’s about acknowledging that you already embody love, wealth, beauty, success, and health.

Technique #3: Find an Affirmation and Drill It

A while back, I wrote about what I learned from Steve Jobs’ guru, Parahamsa Yogananda, the author of Autobiography of a Yogi (a must-read!). In 1924, he also wrote Scientific Healing Affirmations, a book about the power of affirmations. One of his affirmations is something I still use daily.

Here’s how I do Affirmations: I repeat the affirmation in the morning upon waking and in the evening before sleeping. I say it three times—once out loud, once in a whisper, and once silently in my head. I usually practice this right after my morning and evening meditation. The one I use is an abundance affirmation, but you can find an affirmation in Yogananda’s book that resonates with you. If you’re curious, here’s the one I use:

"Thou art my Father
Success and joy;
I am Thy child
Success and joy.

All the wealth of this earth
All the riches of the universe
Belong to Thee, belong to Thee.

I am Thy child.
The wealth of earth and universe
Belongs to me, belongs to me,
O belongs to me, belongs to me.

I lived in thoughts of poverty
And wrongly fancied I was poor
So I was poor.
Now I am home and Thy consciousness
Has made me wealthy, made me rich.
I am success, I am rich;
Thou art my Treasure, I am rich, I am rich.

Thou art everything, Thou art everything.
Thou art mine.
I have everything, I have everything.
I am wealthy, I am rich,
I have everything, I have everything.
I possess all and everything,
Even as Thou dost, even as Thou dost.
I possess everything, I possess everything.

Thou art my wealth.
I have everything."

If this feels too religious or "God-focused" for you, no worries. I recommend trying a simple, yet effective affirmation by Émile Coué, a French psychologist, pharmacist and hypnotist:

"Every day, in every way, I'm getting better and better."

Repeat this phrase up to 20 times a day, especially in the morning and evening. It may seem general, but it’s shown incredible results for millions of people. If you’re interested in exploring this method further, you can find Coué’s brief book on Amazon.

Final Thought: Like anything worthwhile in life, affirmations require commitment and consistency. Practice them every day, even when they feel utterly ridiculous. Do you think the Yogananda affirmation I shared didn’t feel absurd to me at first? Of course, it did—with all the "Dost's" and "Thy Fathers." But over time, like magic, they begin to sink in. The initial absurdity fades into truth.

Before I knew it, I’d catch myself hearing Yogananda's words in my head instead of my usual, sometimes self-loathing, inner dialogue. It’s like a subtle and slow brainwashing that sneaks up on you.

That’s how affirmations work—they don’t create a big "aha!" moment. Instead, it's more like a quiet realization: "Huh, look at my life now... these affirmations must be working."

I call this self-suasion because that’s exactly what it is—consistently persuading yourself of your true possibilities.

Technique #4: SATS Visualization

This next self-suasion technique is something I practice every night, right after I close my eyes to prepare for sleep.

SATS stands for State Akin to Sleep. This state is crucial because, as we drift off, our subconscious mind becomes highly receptive. Essentially, it’s that in-between stage when you’re half-awake and half-asleep.

The beauty of focusing on visualizations during SATS is that it makes them even more powerful. Sometimes, the visualization lasts just 10 seconds before I’m out cold. Other times, it might last a few minutes, and occasionally, I’m asleep the moment I close my eyes.

Pointers on Visualizing:

  • First-person perspective: Always imagine the scene from your own point of view. Otherwise, you might end up manifesting it for someone else!

  • Keep it short: The scene should only be a few seconds long so you can easily "play it on a loop." Repeat it until you feel like your subconscious has been impressed, or as Neville Goddard puts it, until "the seed has been successfully planted."

  • Imagine it after completion: Visualize a scene where your goal, desire, or "Definite Chief Aim" (DCA, as Napoleon Hill called it) has already been achieved. Make sure you're crystal clear on what that DCA is before you start.

  • Sensory vividness: Tap into all your senses. What would you see, hear, touch, smell, and taste in that scene? What emotions would arise—gratitude, excitement, relief, joy? The more vivid the scene, the more effectively it impresses your subconscious.

A simple visualization could be a "congratulatory conversation" with a loved one, where they express how happy they are for your achievement. For me, I’m currently visualizing a trip to Club Med this December with my family and my best friend's family. I imagine us all having dinner outside, our kids running around, tanned and laughing, while the adults are slightly tipsy, enjoying ourselves.

But here’s the catch: this isn’t just about manifesting that trip (although that would be amazing). It’s about self-suasion. It’s about consistently seeing myself as the kind of guy who takes his family to Club Med, who invests in creating memories with friends, and who cherishes traveling with his kids. I’m persuading myself to be that guy—which is more important than any "cash and prizes" that might come from the manifesting powers of visualization.

Technique #5: The Power of Revision

Another crucial aspect of becoming a master self-suader is working through your past and letting go of anything that no longer serves you. We all have some baggage to unpack, right?

This might sound easier said than done, but that’s where Neville Goddard’s revision technique comes in handy. Here’s how it works:

Think back to a specific memory and reimagine it going exactly the way you wish it had. Picture the best-case scenario—one that would make you feel happy, satisfied, or at peace—instead of focusing on what actually happened.

Now, without diving too deep into metaphysical theories about parallel realities, here's the cool part: since everything technically exists simultaneously, reimagining and reliving an experience differently in your mind can impact your "present" and "future"! At its core, the brain doesn’t know the difference between what’s real and what’s imagined (just imagine biting into a lemon, and notice what happens to your saliva glands). So, your visualizations—whether positive or negative—truly matter.

When you revise, you let go of the old, stagnant energy that might be holding you back. Don’t be surprised if, after using this technique, you start noticing new opportunities popping up in your life.

How to Practice Revision

  1. Recall an Event: Briefly sum up a past situation where things didn’t go your way. Write it down.

  2. Reimagine: Imagine how that event could have unfolded in the best possible way. Visualize it working out just as you’d hoped, then write down this new version.

  3. Let It Go: Once you're done, cross off or cut out the original description. Throw it away—or burn it if you’re feeling ceremonial. This act tells your subconscious that it’s officially over and you’re ready to move on.

A Few Tips

  • Focus on one event at a time; it only takes a few minutes to feel that sense of relief.

  • This practice is about experiencing relief after revising an event.

By revising your past, you free yourself from its grip on your future. As Neville Goddard said, "The first act of correction or cure is always—revise.”

In Closing

All the techniques I shared today are simple and won’t take much time to practice. I recommend starting with just one. Your first step is to persuade yourself that this technique will make a difference in your life. Once you trust its efficacy, you can let go and surrender to the self-suasion power of the practice.

If you’re new here, check out my article detailing the Tiny Habits process developed by Stanford's Behavior Lab (I had the honor of studying with them). For this article, I’ve created 12 tiny habits to help make your self-suasion practices stick:

12 Tiny Habits for Self-Suasion:

  1. After I pour my morning coffee, I will revise one event from my past week, reimagining it in a way that makes me feel positive and empowered.

  2. After I get into bed, I will take a deep breath and recall one negative situation from my day that needs revising.

  3. After I lie down and close my eyes, I will take three deep breaths and begin visualizing my desired outcome from a first-person perspective.

  4. After I sit up in bed in the morning, I will say my chosen affirmation out loud, then in a whisper, and finally silently in my head.

  5. After I wash my hands (any time during the day), I will say, "Every day, in every way, I'm getting better and better" in my head.

  6. After I sit down at my desk to start work, I will whisper my affirmation one time.

  7. After I notice myself feeling envious of someone’s success or wealth, I will immediately say out loud, “I am that, I AM!”

  8. After I catch myself scrolling through social media, I will pick one post that triggers envy and say, “I am that, I AM!”

  9. After I look at myself in the mirror in the morning, I will affirm, “I am wealth, I AM!” or “I am love, I AM!”

  10. After I catch myself saying a negative "I AM" (e.g., "I am tired"), I will immediately reframe it to, "There is tiredness moving through me."

  11. After I unlock my phone, I will read the positive "I AM" statement I’ve set as my phone’s wallpaper (e.g., "I am worthy, I AM!").

  12. After I pick up my phone to check messages, I will text a loved one an "I AM" affirmation (e.g., "I am grateful for you").



Wishing you a week filled with self-suasive conversations.

See you next Thursday!

 

Whenever you're ready, there are 6 ways I can help you and your team:

  1. Book me to speak at your next sales kickoff meeting or conference: I've spoken about sales negotiation to over 20,000 people worldwide. Text the word "SPEAKER," to 310-927-5657 and someone will contact you within 24 hours to discuss.

  2. Bring me on to train your sales team: I've trained teams from some of the world's largest organizations, yielding an incredible ROI of $535 for every dollar spent. My methods have generated an additional $1B in revenue across various industries. If you're interested, please text the word "TRANSFORMATION," to 310-927-5657 and someone will schedule a discovery call with you shortly.

  3. [COMING SOON] Negotiate Price Like a STUD, Not a DUD: An online, self-directed course designed to help you defend your pricing and fees effectively.

  4. [COMING SOON] From 'Yes' to 'Hell Yes': The Ethical Conman's Blueprint: I've recently been certified as a master trainer in persuasion and influence by Dr. Robert Cialdini himself. I'm launching a new, exclusive 8-week program that deep dives into the principles of ethical persuasion and influence for leaders. Learn how to become a more magnetic leader and get more people to say "Yes" to you.

  5. [TBD] Live 2-Day Public Negotiation Seminar in Los Angeles: Join us for a unique opportunity to master negotiation skills, network with other leaders, and enjoy a swanky hotel in LA. It's also a perfect chance to train key people from your organization if in-house training isn't feasible.

  6. [TBD] Annual Retreat for Leaders in Life Transitions: Join our intensive retreat designed to help leaders navigate life transitions and discover their next chapter. These retreats focus on authenticity and living a life true to your authentic self. Hundreds have experienced transformation through my retreats.

Previous
Previous

From Muscling to Surrender: A Syllabus for the Curriculum of Life

Next
Next

7 Secrets to Stop Chasing Yesses and Become the Yes